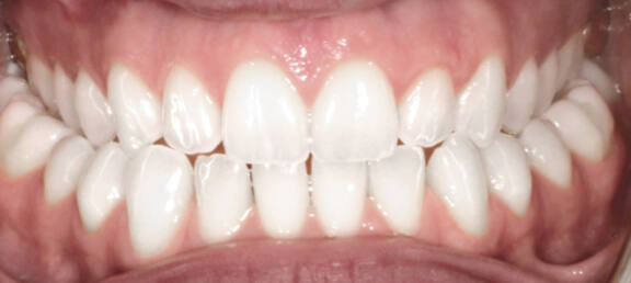
スペーシング
(歯間の改善を目的としたケース)
治療期間の目安:約6か月

※治療内容や期間は、症例によって異なります。
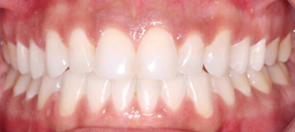
叢生
(そうせい / Crowding)
治療期間の目安:約10か月

※治療内容や期間は、症例によって異なります。
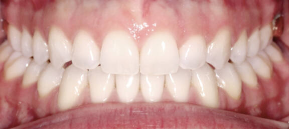
開咬
(かいこう / Open bite)
治療期間の目安:約10か月

※治療内容や期間は、症例によって異なります。
交叉咬合
(こうさこうごう / Cross bite)
治療期間の目安:約9か月

※治療内容や期間は、症例によって異なります。

